ایمپلنت دندان

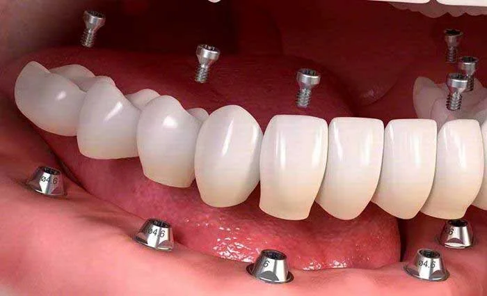
ایمپلنت دندان یکی از پیشرفته‌ترین و مؤثرترین روش‌ها برای جایگزینی دندان‌های ازدست‌رفته است. در این روش، پایه‌ای از جنس تیتانیوم خالص در استخوان فک کاشته می‌شود تا همانند ریشه طبیعی دندان عمل کند. پس از جوش خوردن ایمپلنت با استخوان، تاج یا روکش دندانی روی آن قرار می‌گیرد و ظاهری کاملاً طبیعی و مشابه دندان واقعی ایجاد می‌شود. این روش، ماندگاری بسیار بالا و عملکردی مشابه دندان طبیعی دارد.

مزیت اصلی ایمپلنت نسبت به سایر روش‌های جایگزینی دندان، حفظ سلامت دندان‌های مجاور و جلوگیری از تحلیل استخوان فک است. برخلاف روش‌هایی مانند بریج یا دندان مصنوعی متحرک، ایمپلنت نیاز به تراش دندان‌های سالم کناری ندارد و با انتقال نیرو به استخوان فک، از کاهش حجم و استحکام آن جلوگیری می‌کند. به همین دلیل، ایمپلنت دندانی به‌عنوان درمانی دائمی و ایمن شناخته می‌شود.

فرآیند کاشت ایمپلنت در چند مرحله انجام می‌شود. ابتدا معاینه دقیق و بررسی وضعیت استخوان فک از طریق عکس‌های رادیوگرافی و در صورت نیاز، سی‌تی‌اسکن انجام می‌گیرد. سپس پایه ایمپلنت در فک قرار داده می‌شود و پس از گذشت دوره جوش‌خوردگی، تاج نهایی نصب می‌گردد. در صورت کافی نبودن حجم استخوان، عمل پیوند استخوان یا سینوس لیفت قبل از کاشت ایمپلنت انجام می‌شود تا شرایط فک برای پذیرش ایمپلنت آماده گردد.

ایمپلنت دندانی علاوه بر بازگرداندن زیبایی لبخند، عملکرد طبیعی در جویدن و صحبت کردن را نیز به بیمار بازمی‌گرداند. همچنین احساس اعتمادبه‌نفس در هنگام لبخند زدن، یکی از مهم‌ترین نتایج این درمان است. دوام بالای ایمپلنت، در صورت رعایت بهداشت دهان و مراجعات منظم، می‌تواند تا سال‌ها و حتی مادام‌العمر باشد.

در این مرکز، تمام مراحل کاشت ایمپلنت با استفاده از تجهیزات مدرن، مواد باکیفیت و رعایت کامل اصول استریل انجام می‌شود. هدف ما ارائه درمانی دقیق، بدون درد و با نتیجه‌ای ماندگار است تا بیماران بتوانند با آرامش کامل از لبخندی زیبا و سالم لذت ببرند.

دیدگاهتان را بنویسید

نشانی ایمیل شما منتشر نخواهد شد. بخش‌های موردنیاز علامت‌گذاری شده‌اند *

0
    0
    سبد خرید
    سبد خرید شما خالیه